Atendimento em Trindade-PE com uma especialista experiente, garantindo segurança e durabilidade no seu tratamento. Clique abaixo e solicite um orçamento personalizado!
Você sente vergonha de sorrir, evita fotos ou não está satisfeito com a aparência dos seus dentes?
Descubra como é possível transformar completamente o seu sorriso de forma rápida, segura e acessível.
Vanilda da Silva
Paciente
Francisco das Chagas
Paciente
David Mota
Paciente
Layara Alves
Paciente
Gessica Mendes
Paciente
Wedja Souza Barros
Paciente
Wandson Macedo
Paciente
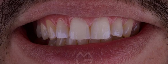
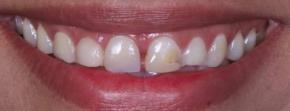
Dentes manchados, desalinhados ou desgastados podem impactar sua autoestima e qualidade de vida. No Instituto Dra. Maria Gabriela Lopes, oferecemos facetas de resina, um tratamento rápido e eficaz para devolver a beleza e a harmonia ao seu sorriso.
Com tecnologia avançada e um planejamento personalizado, garantimos:


Não deixe que a aparência dos seus dentes limite sua confiança. Agende uma avaliação e descubra como podemos ajudar você a conquistar o sorriso dos seus sonhos.
Desde 2015, nossa clínica se dedica a oferecer tratamentos odontológicos de alta qualidade, com foco em facetas dentárias, implantes e estética avançada. Unimos tecnologia, inovação e expertise para transformar sorrisos com naturalidade e harmonia, garantindo resultados que elevam a autoestima e a qualidade de vida.
Com mais de 10 anos de experiência, uma das nossas especialidades é em facetas dentárias, proporcionando sorrisos mais brancos, alinhados e naturais. Utilizamos tecnologia de ponta, para garantir adaptação perfeita, conforto e durabilidade aos nossos pacientes.
Com uma equipe altamente qualificada e um ambiente moderno, buscamos ser referência em Trindade e região no cuidado com a saúde bucal e estética do sorriso. Acreditamos que cada detalhe faz a diferença, e nosso compromisso é proporcionar sorrisos mais bonitos, saudáveis e duradouros.